Имплантация автоматического дефибриллятора-кардиовертера: подробная информация
Нужна экстренная помощь? Позвоните по WhatsApp:
+90 537 520 79 91

Что говорят врачи

Имплантация автоматического дефибриллятора-кардиовертера

Содержание

  1. Что собой представляет имплантации автоматического дефибриллятора-кардиовертера.
  2. Что собой представляет аппарат.
  3. Кому необходима операция.
  4. Подготовка.
  5. Проведение.
  6. Когда можно выписываться из клиники.
  7. Почему именно Turmeda CLINICS.

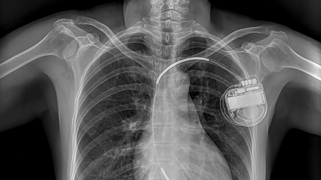
Операция по имплантации автоматического дефибриллятора-кардиовертера (АДК) является способом вернуть здоровье людям с тяжелыми нарушениями сердечного ритма. Тысячи пациентов со всего мира благодарны за новую жизнь компании Turmeda CLINICS. Под этим названием подразумевается малоинвазивная (с минимальными травмами) операция по установке специального прибора для нормализации работы сердца – автоматического дефибриллятора-кардиовертера. Обычно операция длится не более 1,5 часов. АДК представляет собой небольшое устройство, распознающее опасные нарушения сердечного ритма и нормализирующее его – проводящее антиаритмическую терапию. Последняя подразумевает создание электрических импульсов и их подачу к проводящим путям сердца. При этом пациент не чувствует боли. Если же сердце работает ритмично, то аппарат находится в режиме мониторинга и не генерирует импульсов. По показаниям пациенту могут установить одно-, двух- или трехкамерный прибор. Количество камер зависит от того, на сколько отделов сердца нужно посылать импульсы.

Что собой представляет аппарат

Размер АКД сопоставим с размерами спичечного коробка. Благодаря такой компактности прибор не сковывает движений и не ощущается пациентом.

   

АДК состоит из титанового корпуса, в который помещены основные компоненты устройства:

  • батарея – источник питания аппарата. При его истощении требуется замена АДК. Батарея рассчитана на 3–7 лет работы прибора;
  • микрокомпьютер. Он считывает данные о работе сердца, анализирует их и при необходимости трансформирует энергию аккумулятора в электрические импульсы;
  • микрокомпьютер определяет мощность и продолжительность импульсов в зависимости от типа нарушения работы сердца;
  • коннекторный блок. Находится в верхней части аппарата, покрыт прозрачным пластиковым колпаком. Коннекторный блок соединяет сам АДК и электроды;
  • электроды. Представляют собой изолированные гибкие проводники, по которым электрический импульс, создаваемый АДК, достигает нужного отдела сердца. Количество зависит от типа аппарата.

Контроль и настройка работы АДК осуществляется врачом с помощью специального компьютера – программатора.

   

Кому необходима операция

В установке АДК нуждаются пациенты:

  • с перенесенной фибрилляцией желудочков – состоянием, при котором желудочки сердца (2 из 4 камер органа) сокращаются очень быстро, из-за чего сильно нарушается кровоток;
  • чрезвычайно высокой тахикардией (ускорение частоты сердечных сокращений), которая приводит к выраженному нарушению циркуляции крови;
  • тяжелой патологией сердечной мышцы;
  • грубыми расстройствами работы проводящей системы сердца, при которых электрические импульсы, создаваемые в начальных отделах сердца, не распространяются на другие его участки;
  • неэффективностью медикаментозной терапии в вышеперечисленных случаях.

В таких ситуациях операция спасает пациенту жизнь.

Подготовка

Если операция плановая, то обычно за сутки врач отменяет или ограничивает прием ряда медицинских препаратов. В большинстве случаев она проводится под местным обезболиванием, поэтому в день операции рекомендовано не употреблять пищу (после – можно). Если пациенту по жизненным показаниям необходима экстренная имплантация АДК, подготовка сводится к индивидуальному минимуму.

Проведение

Пациента укладывают на операционный стол на спину с валиком под головой и под спиной на уровне подмышек. После обработки операционного поля хирург выполняет катетеризацию подключичной вены (левшам – справа, правшам – слева) и по специальному проводнику (струне) с использованием расширителя (интродьюсера) подводит электрод/электроды в одну из правых камер сердца (в зависимости от типа нарушения сердечного ритма). Затем хирург устанавливает необходимый порог электрического импульса, создаваемого АДК, и фиксирует проводник в сердце.

   

Установка проводника проводится под рентген-контролем (рентгеноскопия). После того, как проводник были установлены их прикрепляют к АДК, который помещают через небольшой разрез в левой или правой подключичной области под, в толщу большой грудной мышцы либо под ее фасцию. Затем еще раз контролируют работу аппарата и ушивают рану.

   

Почему именно Turmeda CLINICS

Наша компания сотрудничает с лучшими медицинскими клиниками Турции. А это значит, что:

  • пациентов будут лечить лучшие специалисты, имена которых известны на весь мир;
  • вам не нужно тратить огромные деньги. Ведь уровень турецкой медицины соответствует европейскому и американскому, а цены в разы ниже;
  • мы гарантируем выполнение условий договора, ведь честность перед клиентом и блестящая репутация – залог стабильной многолетней работы.
  • Поскольку операция является малоинвазивной, при нормальной работе АДК пациенты могут быть выписаны уже через день после операции.

Уточнить информацию о лечении и получить консультацию врача можно по номеру телефона или оставив контакты в форме обратной связи.

Нужна экстренная помощь? Позвоните по WhatsApp:
+90 537 520 79 91

Комплексное лечение

Мы позаботимся о ваших справках, месте проживания, трансферах, полете и т.д.

Консультация

Turmeda CLINICS предоставляет консультацию каждому пациенту! Свяжитесь и отправьте нам ваши медицинские выписки для получения плана лечения от высококвалифицированных специалистов.

Трансфер

Поездка в незнакомую страну может быть очень волнительной, поэтому дружелюбные представители Turmeda CLINICS встретят вас в аэропорту и доставят до места назначения.

Проживание

Мы подберем вам подходящую отель или квартиру. У нас имеется контракт с тысячами отелей.

Сопровождение

Дружелюбные представители Turmeda CLINICS будут постоянно сопровождать вас на всех важных этапах вашего пребывания!

Уход на дому

Turmeda CLINICS предоставляет комфортабельные услуги по уходу на дому. Наш опытные сотрудники будут заботиться и помогать вам на протяжении всего времени вашего пребывания.

Экскурсия

По желанию Turmeda CLINICS организует увлекательный тур по городу совершенно бесплатно. Используйте свое время за границей рационально!

Популярные места

Получить консультацию

Поля отмеченные * обязательны к заполнению

Адрес: Бейликдузу, район Каваклы, 3. улица, здание №8, ‘Corner Office’, 3. этаж, офис 43-44. Турция, г. Стамбул.